Latest Updates
-
Bharti Singh-Haarsh Limbachiyaa Welcome Second Child, Gender: Couple Welcome Their Second Baby, Duo Overjoyed - Report | Bharti Singh Gives Birth To Second Baby Boy | Gender Of Bharti Singh Haarsh Limbachiyaa Second Baby -
Bharti Singh Welcomes Second Son: Joyous News for the Comedian and Her Family -
Gold & Silver Rates Today in India: 22K, 24K, 18K & MCX Prices Fall After Continuous Rally; Check Latest Gold Rates in Chennai, Mumbai, Bangalore, Hyderabad, Ahmedabad & Other Cities on 19 December -
Nick Jonas Dancing to Dhurandhar’s “Shararat” Song Goes Viral -
From Consciousness To Cosmos: Understanding Reality Through The Vedic Lens -
The Sunscreen Confusion: Expert Explains How to Choose What Actually Works in Indian Weather -
On Goa Liberation Day 2025, A Look At How Freedom Shaped Goa Into A Celebrity-Favourite Retreat -
Daily Horoscope, Dec 19, 2025: Libra to Pisces; Astrological Prediction for all Zodiac Signs -
Paush Amavasya 2025: Do These Most Powerful Rituals For Closure On The Final Amavasya Of The Year -
As The Last New Moon Of 2025 Approaches, Make A Wish Based On Your Rising Sign
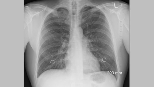
White Lung Syndrome: What Are The Symptoms Of The Disease Rampant In China? How Does It Spread?
In a chilling global scenario reminiscent of recent pandemic woes, a new health concern is making waves - White Lung Syndrome. This mysterious pneumonia, affecting children aged three to eight in China, Denmark, the United States, and the Netherlands, has raised alarms globally.
Let's take a look into the details, understanding the symptoms, causes, and transmission methods, as we try to comprehend this unsettling health crisis.

What Is White Lung Syndrome?
White Lung Syndrome isn't just like any other pneumonia; it's a serious threat that can lead to lung scarring and discoloration. The impact is severe, making global health organizations closely watch and study how the disease develops. The exact details of this illness highlight the urgent need for researchers to work together and understand its complexities.
What Are The Symptoms Of White Lung Syndrome?
White Lung Syndrome is a serious type of pneumonia that affects children. Here are the primary symptoms of white lung syndrome in children:
- Fever
- Cough
- Chest pain
- Trouble breathing
It shows up with symptoms like fever, cough, trouble breathing, chest pain, and feeling tired.

While these signs can be seen in other respiratory illnesses, it's important not to ignore them, especially with the increase in cases worldwide. Paying attention to these symptoms is crucial for early detection and proper care.
What Causes White Lung Syndrome?
The exact reason behind White Lung Syndrome is still unclear, involving a complicated mix of bacteria, viruses, and environmental elements. A significant contributor is Mycoplasma pneumoniae, a tough-to-treat bacterial infection.
The seriousness and distinct features of lung damage observed on scans make understanding this health issue even more puzzling.

How Does White Lung Syndrome Spread?
The disease spreads through minuscule respiratory droplets released during coughing, sneezing, talking, singing, and even normal breathing. This mode of transmission mirrors the early days of the COVID-19 pandemic, emphasizing the importance of preventive measures.
Vigilance and adherence to public health guidelines can significantly curb the spread of White Lung Syndrome.
On A Final Note...
The world is dealing with a new health issue called White Lung Syndrome. It's important to stay informed and alert. This situation is similar to past health crises, emphasising the need for a global response.

Researchers are working to figure out where the disease came from, how it spreads, and what treatments work. Acting quickly is crucial to stop the problem from getting worse.
Disclaimer: This article aims to provide general information and does not substitute professional medical advice. Consult a healthcare professional for personalized guidance.



Click it and Unblock the Notifications











