Latest Updates
-
Purported Video of Muslim Mob Lynching & Hanging Hindu Youth In Bangladesh Shocks Internet -
A Hotel on Wheels: Bihar Rolls Out Its First Luxury Caravan Buses -
Bharti Singh-Haarsh Limbachiyaa Welcome Second Child, Gender: Couple Welcome Their Second Baby, Duo Overjoyed - Report | Bharti Singh Gives Birth To Second Baby Boy | Gender Of Bharti Singh Haarsh Limbachiyaa Second Baby -
Bharti Singh Welcomes Second Son: Joyous News for the Comedian and Her Family -
Gold & Silver Rates Today in India: 22K, 24K, 18K & MCX Prices Fall After Continuous Rally; Check Latest Gold Rates in Chennai, Mumbai, Bangalore, Hyderabad, Ahmedabad & Other Cities on 19 December -
Nick Jonas Dancing to Dhurandhar’s “Shararat” Song Goes Viral -
From Consciousness To Cosmos: Understanding Reality Through The Vedic Lens -
The Sunscreen Confusion: Expert Explains How to Choose What Actually Works in Indian Weather -
On Goa Liberation Day 2025, A Look At How Freedom Shaped Goa Into A Celebrity-Favourite Retreat -
Daily Horoscope, Dec 19, 2025: Libra to Pisces; Astrological Prediction for all Zodiac Signs
Amazing Ultrasound Images To Check
When a woman becomes pregnant, it is one of the best feeling in the world. There are so many emotions that she goes through.
There are some of the amazing moments when the woman starts feeling the baby's kick or move for the first time, inside her womb.
What better joy than seeing your baby in the ultrasound, isn't it? These are the expressions of a lifetime, wherein you just cannot express your happiness in words.
In this article, we are about to share some of the most amazing ultrasound images of unborn kids who can make you go Awww, or even creep you out, well slightly.
Find out more about the interesting ultrasound images of unborn babies who are either chilling inside their mother's womb or are simply smiling. Apart from these, there are images that can also freak you out!
Yeah, you read that right. Read on.

The Boy Whose Heart-Shaped Head Was Spotted In An Ultrasound
This unique-looking ultrasound image of this little boy worried the mum a lot. It was a 3D image, which made the baby look like that. Five months later, when the baby was born, he was all fine.
Image Courtesy

The Parents Who Were Scared With A Creepy Face
When the parents went in to get the wife's weekly checkup done, they found a creepy red, leering demon-looking face. This was the image that was got when the couple went in for a "4D" ultrasound scan.
Image Courtesy

Eerie Resemblance To The Evil Emperor From Star Wars
The ultrasound of this unborn baby has a scary resemblance to the evil emperor from "Star Wars". The mother immediately spotted the cloaked figure staring back at her from a scan, and everyone in the scan room had a hearty laugh for this resemblance.
Image Courtesy

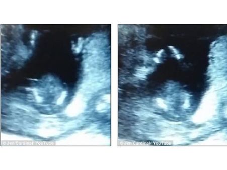
Baby With The Clapping Hands
Jen Cardinal uploaded a video of her ultrasound which showed her unborn child clapping his hands. The unborn kid was just 14-week old. The movement of the baby will give you goosebumps for sure when you watch the video online.
Image Courtesy

A Baby Gives A Thumps Up
This can be a very scientific indication of what an unborn baby is doing. The doctors and the would-be mother were amazed when they saw the baby show a thumbs up. How adorable is this!
Image Courtesy

This Boy Was Smiling In The Womb
Amy Cregg and Leighton Hargreaves were proud parents when they saw their baby smile in the womb. This unusual picture shows that the baby was grinning like a Cheshire Cat. The best part about this kid was that he kept smiling even in his sleep after he was born.
Image Courtesy



Click it and Unblock the Notifications











