Latest Updates
-
A Hotel on Wheels: Bihar Rolls Out Its First Luxury Caravan Buses -
Bharti Singh-Haarsh Limbachiyaa Welcome Second Child, Gender: Couple Welcome Their Second Baby, Duo Overjoyed - Report | Bharti Singh Gives Birth To Second Baby Boy | Gender Of Bharti Singh Haarsh Limbachiyaa Second Baby -
Bharti Singh Welcomes Second Son: Joyous News for the Comedian and Her Family -
Gold & Silver Rates Today in India: 22K, 24K, 18K & MCX Prices Fall After Continuous Rally; Check Latest Gold Rates in Chennai, Mumbai, Bangalore, Hyderabad, Ahmedabad & Other Cities on 19 December -
Nick Jonas Dancing to Dhurandhar’s “Shararat” Song Goes Viral -
From Consciousness To Cosmos: Understanding Reality Through The Vedic Lens -
The Sunscreen Confusion: Expert Explains How to Choose What Actually Works in Indian Weather -
On Goa Liberation Day 2025, A Look At How Freedom Shaped Goa Into A Celebrity-Favourite Retreat -
Daily Horoscope, Dec 19, 2025: Libra to Pisces; Astrological Prediction for all Zodiac Signs -
Paush Amavasya 2025: Do These Most Powerful Rituals For Closure On The Final Amavasya Of The Year
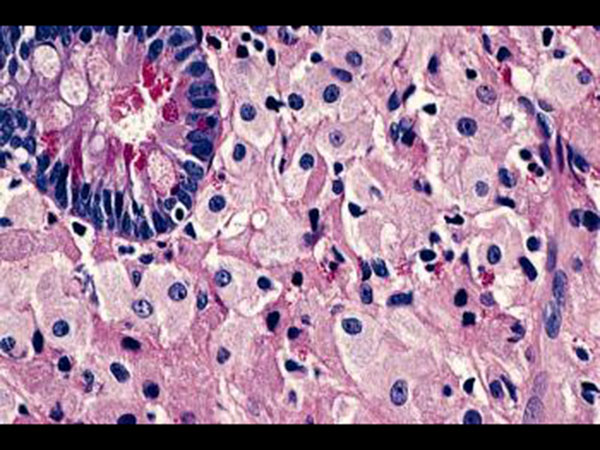
Whipple Disease: Causes, Symptoms, Diagnosis & Treatment
A rare bacterial infection, which most often affects your joints and digestive system, Whipple disease impairs the breakdown of foods and hampers the body's ability to absorb nutrients [1] . It can also affect other organs such as the heart, brain and eyes. If proper treatment is not received, it can turn fatal. Timely medical intervention is therefore essential.
About 40 per cent of people with this illness show neurological symptoms such as abnormalities of the eye and facial muscle movements, dementia, seizures, memory loss, weakness and headaches [2] .

Read on to know how this rare infectious disease can cause multiple infections in different organs and its treatment possibilities.
What Is Whipple Disease?
Being a multi-system infectious bacterial disease, Whipple disease interferes with the body's ability to metabolize fats. It is caused by the bacterium Tropheryma whipplei [3] . This illness is named after George Whipple, who discovered the bacteria causing this disease in 1907. Although it can affect the heart, joints, brain, eyes and lungs, it usually tends to occur in the gastrointestinal system.
It has been found that this illness is more common in men and also the neurological symptoms are found to be more common in individuals who have severe abdominal disease. This ailment can be treated with antibiotics, but sometimes patients might relapse and need long-term treatment. 87 per cent of people with Whipple disease are men aged between 40 and 60 years [4] .

Symptoms Of Whipple Disease
Although the symptoms vary widely among patients, the most common signs of this disease are as follows [5] :
- Weight loss - usually happens due to malabsorption
- Weakness
- Stomach pain
- Anaemia
- Fatigue
- Darkening of the skin exposed to the sun
Sometimes endocarditis is the only symptom of Whipple disease. There can be severe breathlessness and swelling of the legs due to fluid build-up. The heart becomes inflamed and the body is unable to pump fluids through the body.
The following signs occur when Whipple disease progresses to the central nervous system [6] :
- Insomnia
- Dementia
- Facial numbness
- Vision problems
- Hearing loss
- Memory problems
- Loss of mobility
Causes Of Whipple Disease
As mentioned, Whipple disease is caused by a type of bacterium called Tropheryma whipplei. This bacterium is said to affect the mucosal lining of the small intestine followed by the formation of small lesions within the intestinal wall [7] . This illness also damages the villi that line the small intestine. Research is still underway as to how the bacteria originates or how it spreads to humans.
Few researchers say that the people who develop this disease have a genetic defect in their immune system response, which makes them more prone to becoming sick when exposed to this bacteria. However, Whipple disease is not very common. It affects about only 1 in 1 million people [8] .

It has been found that this condition is more common in farmers and people who work outdoors, especially the ones who have frequent contact with soil and sewage waste water. It is worth noting that this disease is not transmitted from person to person.
Diagnosis Of Whipple Disease
Several tests and exams may be conducted to diagnose this illness. These include [9] the following.
- Blood tests
- Upper GI endoscopy and enteroscopy
- Physical examination
- Medical and family history
At times, on seeing the results, your general healthcare practitioner might refer you to a gastroenterologist. The chances of the following common conditions with almost similar symptoms are ideally first eliminated, before beginning the treatment procedure [10] :
- Coeliac disease
- Inflammatory rheumatic disease
- Neurologic disease
- Intra-abdominal lymphoma
- Mycobacterium avium complex (an infection that affects people with AIDS)
In some cases, a biopsy might be conducted to reach a conclusive decision about the diagnosis of Whipple disease. A tissue sample is collected from the lining of the small intestine [11] . The tissue is examined under a microscope for the presence of disease-causing bacteria and their lesions.
Treatment For Whipple Disease
The ideal treatment methodology followed is with the use of antibiotics to destroy the bacteria causing the infection. The treatment is long-term and usually lasts for a year or two [12] . The people who have not suffered any brain or nervous system complications usually recover completely after a full course of antibiotics.
In case a person relapses during treatment, the antibiotics might need to be altered as the patient might have developed a resistance to the drugs [13] . Doctors prefer prescribing antibiotics that not just wipe out infections of the intestinal tract but also cross a layer of tissue around the brain. This is to eliminate bacteria that might have entered the brain and central nervous system.
The ideal treatment plan for Whipple disease is with the use of intravenous ceftriaxone or penicillin [14] for the first two to four weeks. This can be followed by a long-term oral antibiotic course of sulfamethoxazole-trimethoprim. The symptoms should improve within one to two weeks of starting the antibiotic treatment.
As Whipple disease causes nutrient-absorption difficulties, your doctor might recommend taking vitamin and mineral supplements to ensure adequate nutrition in the body.

Complications Of Whipple Disease
Usually, complications arise due to malnutrition (which happens when the villi in the small intestine are damaged). Damage to the villi impairs nutrient absorption [15] . Nutritional deficiencies are highly common in people with Whipple disease and hence causes extreme fatigue, weakness, joint pain and weight loss.
If not treated on time, Whipple disease falls under the category of being a progressively fatal disease. In spite of being rare, several associated deaths have been reported. The deaths are usually due to late diagnosis and delayed treatment. The primary cause of death is the spread of the infection to the central nervous system. This is an irreversible damage.
Disclaimer: The information provided in this article is for general informational and educational purposes only and is not intended as a substitute for professional medical advice, diagnosis, or treatment. Always seek the advice of your physician or a qualified healthcare provider with any questions you may have regarding a medical condition.
- [1] Dutly, F., & Altwegg, M. (2001). Whipple's disease and "Tropheryma whippelii".Clinical microbiology reviews,14(3), 561-583.
- [2] Marumganti, A. R., & Murphy, T. F. (2008). Whipple's disease: neurological relapse presenting as headache for two years.Journal of general internal medicine,23(12), 2131-2133.
- [3] Marth, T. (2015). Systematic review: Whipple's disease (Tropheryma whipplei infection) and its unmasking by tumour necrosis factor inhibitors.Alimentary pharmacology & therapeutics,41(8), 709-724.
- [4] Bureš, J., Kopáčová, M., Douda, T., Bártová, J., Tomš, J., Rejchrt, S., & Tachecí, I. (2013). Whipple's Disease: Our Own Experience and Review of the Literature.Gastroenterology research and practice,2013, 478349.
- [5] Durand, D. V., Lecomte, C., Cathébras, P., Rousset, H., & Godeau, P. (1997). Whipple disease. Clinical review of 52 cases. The SNFMI Research Group on Whipple Disease. Societe Nationale Francaise de Medecine Interne.Medicine,76(3), 170-184.
- [6] Compain, C., Sacre, K., Puéchal, X., Klein, I., Vital-Durand, D., Houeto, J. L., … Papo, T. (2013). Central nervous system involvement in Whipple disease: clinical study of 18 patients and long-term follow-up.Medicine,92(6), 324-330.
- [7] Schneider, T., Moos, V., Loddenkemper, C., Marth, T., Fenollar, F., & Raoult, D. (2008). Whipple's disease: new aspects of pathogenesis and treatment.The Lancet infectious diseases,8(3), 179-190.
- [8] Chandra, S. R., Raj, P., Pai, A. R., & Reddy, N. (2018). A Case of Whipple's Disease: A Very Rare Cause for Rapidly Progressive Dementia.Indian journal of psychological medicine,40(3), 280-283.
- [9] Günther, U., Moos, V., Offenmüller, G., Oelkers, G., Heise, W., Moter, A., … Schneider, T. (2015). Gastrointestinal diagnosis of classical Whipple disease: clinical, endoscopic, and histopathologic features in 191 patients.Medicine,94(15), e714.
- [10] Conly, J. M., & Johnston, B. L. (2001). Rare but not so rare: The evolving spectrum of Whipple's disease.The Canadian journal of infectious diseases = Journal canadien des maladies infectieuses,12(3), 133-135.
- [11] Obst, W., von Arnim, U., & Malfertheiner, P. (2014). Whipple's Disease.Viszeralmedizin,30(3), 167-172.
- [12] Dutly, F., & Altwegg, M. (2001). Whipple's disease and "Tropheryma whippelii".Clinical microbiology reviews,14(3), 561-583.
- [13] Keinath, R. D., Merrell, D. E., Vlietstra, R., & Dobbins III, W. O. (1985). Antibiotic treatment and relapse in Whipple's disease: long-term follow-up of 88 patients.Gastroenterology,88(6), 1867-1873.
- [14] Bureš, J., Kopáčová, M., Douda, T., Bártová, J., Tomš, J., Rejchrt, S., & Tachecí, I. (2013). Whipple's Disease: Our Own Experience and Review of the Literature.Gastroenterology research and practice,2013, 478349.
- [15] Zubiaga, L., Ruiz-Tovar, J., Castro, M. J., Ortiz-de-Solózano, F. J., Luque-de-León, E., Jiménez, J. M., & Carbajo, M. A. (2019). Whipple disease after bariatric surgery: from malabsorption to malnutrition status.Nutrición hospitalaria: Organo oficial de la Sociedad española de nutrición parenteral y enteral,36(1), 238-241.



Click it and Unblock the Notifications











