Latest Updates
-
Bharti Singh-Haarsh Limbachiyaa Welcome Second Child, Gender: Couple Welcome Their Second Baby, Duo Overjoyed - Report | Bharti Singh Gives Birth To Second Baby Boy | Gender Of Bharti Singh Haarsh Limbachiyaa Second Baby -
Bharti Singh Welcomes Second Son: Joyous News for the Comedian and Her Family -
Gold & Silver Rates Today in India: 22K, 24K, 18K & MCX Prices Fall After Continuous Rally; Check Latest Gold Rates in Chennai, Mumbai, Bangalore, Hyderabad, Ahmedabad & Other Cities on 19 December -
Nick Jonas Dancing to Dhurandhar’s “Shararat” Song Goes Viral -
From Consciousness To Cosmos: Understanding Reality Through The Vedic Lens -
The Sunscreen Confusion: Expert Explains How to Choose What Actually Works in Indian Weather -
On Goa Liberation Day 2025, A Look At How Freedom Shaped Goa Into A Celebrity-Favourite Retreat -
Daily Horoscope, Dec 19, 2025: Libra to Pisces; Astrological Prediction for all Zodiac Signs -
Paush Amavasya 2025: Do These Most Powerful Rituals For Closure On The Final Amavasya Of The Year -
As The Last New Moon Of 2025 Approaches, Make A Wish Based On Your Rising Sign
Silicosis: Causes, Symptoms, Diagnosis And Treatment
People who work in areas where they breathe in dust containing silica are subjected to a lung disease known as silicosis [1] . Silica is a tiny crystal that is found in rock, sand or mineral ores such as quartz. For people who work in silica dust-prone regions, the silica can build up in the lungs and breathing passages leading to scarring that can make it very difficult for the person to breathe normally [1] .
Read on to know more about the causes of silicosis, its symptoms, diagnosis, treatment and steps for prevention.

What Is Silicosis?
Silicosis is a lung disease that occurs when one inhales silica dust [2] . It is usually found to occur in workers who are exposed to silica dust due to their jobs. People who are employed in occupations such as mining, foundry work and glass manufacturing are most likely to suffer from silicosis. With extended exposure to silica particles, the lungs get scarred which eventually harms one's ability to breathe [3] .

The following are the three types of silicosis:
- Acute [4] : Lungs become inflamed. They might be filled with fluid. It causes low blood oxygen levels and severe shortness of breath. Symptoms usually begin to occur between a few weeks up to 2 years after exposure to large amounts of silica.
- Chronic: The accumulated silica dust leads to swelling in the lungs and chest lymph nodes [5] . This makes breathing extremely difficult. Sometimes problems may not show up until decades after the exposure. Symptoms might be mild at first and then worsen slowly.
- Accelerated: There is severe swelling in the lungs. The signs begin to show up 5 to 10 years after extreme exposure to silica [6] . The symptoms worsen quickly.
Causes Of Silicosis
Heavy exposure to crystalline silica causes silicosis. Any occupation that deals with disturbing the earth's crust can lead to silicosis (such as cutting, drilling, chipping, grinding soil, sand or granite). The following occupations cause extreme exposure to silica [7] :
- Glass manufacturing
- Tunnel work
- Construction work
- Mining (coal or hard rock mining)
- Masonry
- Sandblasting
- Ceramics work
- Quarrying
- Stone cutting
- Steel industry work

Risk Factors Of Silicosis
The primary risk factor is exposure to silica dust. Limiting exposure to crystalline silica is the best way to prevent the occurrence of this ailment. Most of the occupations (wherein there is exposure to silica) have maintained a guideline on the exposure limits for a worker over his entire working lifetime.

Also, employers need to provide their workers with the perfect clothing and equipment so that they can protect themselves from exposure to silica effects [8] .
Patients who suffer from silicosis have an increased risk for other problems such as lung cancer, tuberculosis and chronic bronchitis.

Symptoms Of Silicosis
Early symptoms include the following [9] :
- Phlegm
- A nagging cough
- Trouble breathing
Later symptoms include the following (in addition to the early symptoms) [10] :
- Fatigue
- Chest pain
- Weight loss
- Bluish discolouration of the lips
- Swollen legs
- Sudden fever
- Shortness of breath
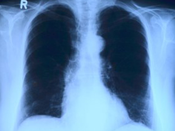
Diagnosis Of Silicosis
Once you approach a doctor with the symptoms of silicosis, you might need to undergo the following tests:
- Chest x-ray or CT scan: The test is used to check the lungs for scars [11] .

- Sputum test [12] : This is done to check for the presence of other lung diseases such as tuberculosis.
- Biopsy: A lung tissue biopsy involves the doctor taking a sample of a nodule with the use of a needle that is guided through your chest and into your lungs [13] . This sample is checked under a microscope to look out for signs of silicosis.
- Bronchoscopy [14] : A long, thin tube with a tiny camera is run through till the end into your lungs. This is performed to check for damages that might have occurred.
Treatment For Silicosis
There
is
no
cure
for
silicosis.
Once
silicosis
develops,
your
doctor
would
assess
the
degree
of
lung
damage
using
tests.
In
extreme
cases,
some
people
might
require
oxygen
and
support
for
breathing.
Treatment
can
help
in
the
management
of
symptoms
and
ideally
include
the
following:
Medications:
Inhaled
steroid
can
reduce
lung
mucus
[15]
.
Bronchodilators
can
help
in
the
breathing
passages
being
relaxed
[16]
.
- Oxygen therapy [17] : The portable oxygen tank is used to help a person fight and reduce fatigue.
- Lung transplant surgery: In the case of advanced lung damage, surgical intervention might be required [18] .
Possible Complications Of Silicosis
Silicosis can lead to the following health problems [19] :
- Tuberculosis
- Respiratory failure
- Lung cancer
- Progressive massive fibrosis
- Connective tissue disease (rheumatoid arthritis, systemic lupus erythematosus and scleroderma)
Prevention Of Silicosis
The simplest prevention steps include the following [20] :
- Limit the time you are exposed to silica.

- Wear a mask or protective clothing when you work around silica-dust areas.
- Ask your employer for proper safety equipment.
- Quit smoking. It worsens lung damage.
- Avoid secondhand smoke.

- Avoid areas with a lot of air pollution, dust and allergens.
- Do not eat or drink near silica dust.
- Use proper ventilation or blasting cabinets during work.
- Use respirators that can protect you from inhaling silica.
- Use wet methods to cut, chip or grind materials.
- Wash your hands and face before you eat.
- Shower and change your clothes immediately after work hours.
Disclaimer: The information provided in this article is for general informational and educational purposes only and is not intended as a substitute for professional medical advice, diagnosis, or treatment. Always seek the advice of your physician or a qualified healthcare provider with any questions you may have regarding a medical condition.
- [1] Sato, T., Shimosato, T., & Klinman, D. M. (2018). Silicosis and lung cancer: current perspectives.Lung Cancer (Auckland, N.Z.),9, 91–101.
- [2] Leung, C. C., Yu, I. T. S., & Chen, W. (2012). Silicosis.The Lancet,379(9830), 2008-2018.
- [3] Chen, W., Liu, Y., Wang, H., Hnizdo, E., Sun, Y., Su, L., … Wu, T. (). Long-term exposure to silica dust and risk of total and cause-specific mortality in Chinese workers: a cohort study.PLoS medicine,9(4), e1001206.
- [4] Duchange, L., Brichet, A., Lamblin, C., Tillie, I., Tonnel, A. B., & Wallaert, B. (1998). Acute silicosis. Clinical, radiologic, functional, and cytologic characteristics of the broncho-alveolar fluids. Observations of 6 cases.Revue des maladies respiratoires,15(4), 527-534.
- [5] Cowie, R. L., & Mabena, S. K. (1991). Silicosis, chronic airflow limitation, and chronic bronchitis in South African gold miners.American Journal of Respiratory and Critical Care Medicine,143(1), 80-84.
- [6] Hutyrová, B., Smolková, P., Nakládalová, M., Tichý, T., & Kolek, V. (2015). Case of accelerated silicosis in a sandblaster.Industrial health,53(2), 178–183.
- [7] Ziskind, M., Jones, R. N., & Weill, H. (1976). Silicosis.American review of respiratory disease,113(5), 643-665.
- [8] Leso, V., Fontana, L., Romano, R., Gervetti, P., & Iavicoli, I. (2019). Artificial Stone Associated Silicosis: A Systematic Review.International journal of environmental research and public health,16(4), 568.
- [9] Lopes-Pacheco, M., Bandeira, E., & Morales, M. M. (2016). Cell-Based Therapy for Silicosis.Stem cells international,2016, 5091838.
- [10] Koskinen, H. (1985). Symptoms and clinical findings in patients with silicosis.Scandinavian journal of work, environment & health, 101-106.
- [11] Bégin, R., Ostiguy, G., Fillion, R., & Colman, N. (1991). Computed Tomography Scan in the Early Detection of Silicosis1, 2.Am Rev Respir Dis,144, 697-705.
- [12] Ryu Y. J. (2015). Diagnosis of pulmonary tuberculosis: recent advances and diagnostic algorithms.Tuberculosis and respiratory diseases,78(2), 64–71.
- [13] Tukiainen, P., Taskinen, E., Korhola, O., & Valle, M. (1978). TruCutR needle biopsy in asbestosis and silicosis: correlation of histological changes with radiographic changes and pulmonary function in 41 patients.British journal of industrial medicine,35(4), 292–304.
- [14] CONCINA, E., & ORLANDI, O. (1951). Bronchoscopic findings in silicosis and silicotuberculosis.Rassegna di medicina industriale e di igiene del lavoro,20(6), 424.
- [15] BEKLEMISHEV, N., RUBILINA, E., PODLESNOV, A., DVOIRIN, V., ZIABREV, I., NESIS, A., & PALKIN, V. (1963). INHALATION OF CORTICOSTEROIDS IN SILICOSIS THERAPY.Gigiena truda i professional'nye zabolevaniia,7, 30-34.
- [16] Yoon, H. Y., Kim, Y., Park, H. S., Kang, C. W., & Ryu, Y. J. (2018). Combined silicosis and mixed dust pneumoconiosis with rapid progression: A case report and literature review.World journal of clinical cases,6(16), 1164–1168.
- [17] ZORN, O., ENGELKE, H., FRIEHOFF, F., & KARRASCH, K. (1958). Oxygen inhalation therapy in chronic lung diseases, especially emphysema and severe silicosis.Beitrage zur Silikose-Forschung,118(51), 1-35.
- [18] Singer, J. P., Chen, H., Phelan, T., Kukreja, J., Golden, J. A., & Blanc, P. D. (2012). Survival following lung transplantation for silicosis and other occupational lung diseases.Occupational medicine (Oxford, England),62(2), 134–137.
- [19] Dreessen, W. C., Page, R. T., & Brinton, H. P. (1942). Silicosis and Other Health Problems of Metal Miners.American journal of public health and the nation's health,32(2), 142–150.
- [20] Kulkarni G. K. (2007). Prevention and control of silicosis: A national challenge.Indian journal of occupational and environmental medicine,11(3), 95–96.



Click it and Unblock the Notifications











