Latest Updates
-
World Meditation Day 2025: Meditation Beyond The Mat, Simple Moments That Bring Inner Peace -
Sreenivasan Passes Away: Malayalam Cinema Mourns The Legendary Actor-Writer's Demise -
Malayalam Film Industry Loses A Defining Voice: Actor, Screenwriter And Director Sreenivasan Passes Away At 69 -
Happy Birthday Dheeraj Dhoopar: How A TV Set Friendship Turned Into Love With Wife Vinny Arora -
Top Skin and Hair Concerns in India in 2025: What the Data Reveals -
International Human Solidarity Day 2025: History, Significance, and Why It Matters -
Purported Video of Muslim Mob Lynching & Hanging Hindu Youth In Bangladesh Shocks Internet -
A Hotel on Wheels: Bihar Rolls Out Its First Luxury Caravan Buses -
Bharti Singh-Haarsh Limbachiyaa Welcome Second Child, Gender: Couple Welcome Their Second Baby, Duo Overjoyed - Report | Bharti Singh Gives Birth To Second Baby Boy | Gender Of Bharti Singh Haarsh Limbachiyaa Second Baby -
Bharti Singh Welcomes Second Son: Joyous News for the Comedian and Her Family
WTF! Man Injected Semen Into His Forearm To Cure His Back Pain
There are several cases of people trying out the most bizarre things to treat medical conditions, and some of these will leave you shocked.
Here is one such case of a man who had tried to inject semen in his forearm to get rid of his back pain. This is a trick that he had been trying for the past 18 months!
Check out the details of this bizarre incident...

The Man Arrived At The Hospital In Severe Pain
This 33-year-old Irish man baffled the doctors when he walked into a Dublin hospital as he complained of severe pain in his lower back. But doctors noticed that he had a red rash and a swelling on his forearm.

He Tried To Treat Himself With This Bizarre Trick
The man tried to cure his back pain that he has been suffering for a long time. He tried the very unusual "cure" of injecting himself with semen. He had been pumping his forearm with his own semen for the past 18 months in a bid to self-treat his continuing back pain.

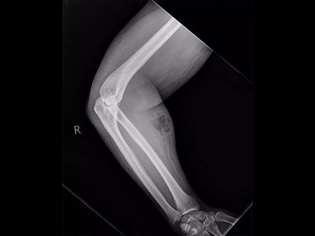
The Doctors Took An X-ray
Seeing the man's arm in a weird shape, the doctors decided to perform an X-ray. The semen had leaked into his soft tissue that caused the nasty infection. The semen injections that he had been taking as a once-a-month dose had apparently leaked into his soft tissue that caused the nasty infection. Due to this, he had developed cellulitis, a bacterial infection of the skin.

But Unfortunately, The Man Did Not Let The Medics Treat Him
Even though the doctors had taken an X-ray and were preparing for his treatment, the man left before the doctors got a chance to remove the offending semen that he had injected.

It Is Believed To Be The World’s First Bizarre Treatment
According to the reports, the weird way of treating back pain is believed to be the world's first kind of bizarre treatment as it has been documented in the Irish Medical Journal.



Click it and Unblock the Notifications











