Latest Updates
-
Happy Birthday Dheeraj Dhoopar: How A TV Set Friendship Turned Into Love With Wife Vinny Arora -
Top Skin and Hair Concerns in India in 2025: What the Data Reveals -
International Human Solidarity Day 2025: History, Significance, and Why It Matters -
Purported Video of Muslim Mob Lynching & Hanging Hindu Youth In Bangladesh Shocks Internet -
A Hotel on Wheels: Bihar Rolls Out Its First Luxury Caravan Buses -
Bharti Singh-Haarsh Limbachiyaa Welcome Second Child, Gender: Couple Welcome Their Second Baby, Duo Overjoyed - Report | Bharti Singh Gives Birth To Second Baby Boy | Gender Of Bharti Singh Haarsh Limbachiyaa Second Baby -
Bharti Singh Welcomes Second Son: Joyous News for the Comedian and Her Family -
Gold & Silver Rates Today in India: 22K, 24K, 18K & MCX Prices Fall After Continuous Rally; Check Latest Gold Rates in Chennai, Mumbai, Bangalore, Hyderabad, Ahmedabad & Other Cities on 19 December -
Nick Jonas Dancing to Dhurandhar’s “Shararat” Song Goes Viral -
From Consciousness To Cosmos: Understanding Reality Through The Vedic Lens
Argentina’s Mystery Pneumonia Outbreak Linked To Legionnaires' Disease: Symptoms, Causes And Treatments
On 3 September 2022, the Argentine Ministry of Health announced that Legionellosis was the cause of a recent outbreak of pneumonia that had already infected 11 people and killed four.
Pneumonia can be a life-threatening illness if immediate medical care is not provided. One of its severest forms is Legionnaires' disease. It is an infection that causes severe lung inflammation. Although not contagious, immediate medical attention is necessary if a person contracts this illness.
What Is Legionnaires' Disease?
This illness is caused by a bacterium called Legionella. People usually catch this illness by inhaling the bacteria. This bacterium can also cause another mild illness called Pontiac fever (resembling flu). Sometimes Legionnaires' disease shows these flu symptoms along with the inflammation of the lungs. This illness was first identified in the year 1977. This disease does not spread from person to person.

How Do You Contract Legionnaires' Disease?
The bacterium causing this ailment is usually found in freshwater settings that include river, lakes and streams. This bacterium is known to thrive in warm water. It mostly spreads through the supply of contaminated water.
This airborne disease is caused by a bacterium that is so small that it can be present inside a tiny droplet of water (mist or water vapour). The bacterium gets into your lungs when you inhale it, such as during steam from a sauna bath or when in a hot tub.
Legionella can also be found in not so well-maintained decorative water fountains, swimming pools, cruise ships and gyms. Mist sprayers and air conditioning units can also be contaminated. Although less common, this bacterium can occur by drinking tainted water when it goes down your trachea instead of the oesophagus.
What Are The Symptoms Of Legionnaires' Disease?
Once exposed to this bacterium, you will begin to show symptoms of this disease usually between 2 to 10 days.
The initial signs of this illness are:
•
Muscle
pain
•
Chills
•
High
fever
•
Headache
The signs that develop by the third day are:
•
Mental
changes
such
as
confusion
•
Gastrointestinal
issues
such
as
vomiting,
diarrhoea
and
nausea
•
Chest
pain
•
Cough
(with
mucus,
sometimes
with
blood
as
well)
•
Shortness
of
breath
This disease can cause infections in wounds that might have occurred in any part of the body.

How Is Legionnaires' Disease Diagnosed?
As Legionnaires' disease is a kind of pneumonia, to exactly determine this illness, a few specific tests might be necessary.
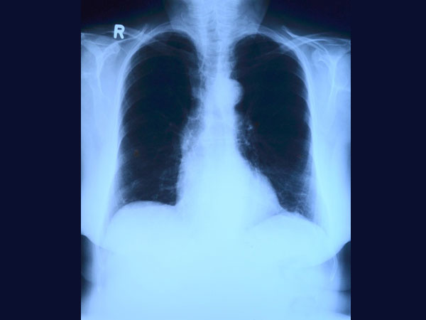
Your doctor would conduct a urine test to determine the presence of Legionella antigens. You could also be prescribed to undergo blood tests, a CT scan in case of neurological symptoms, a chest X-ray to check the infection severity in your lungs and tests on a sample of sputum.
Chest X-rays are usually conducted to see the extent of infection in the lungs.
In case of problems such as excessive confusion and difficulty in concentrating, your doctor would recommend a CT scan that would be based on taking X-ray images from various angles. A spinal tap might also be received. This involves a kind of lumbar puncture.

Is Legionnaires' Disease Curable?
When medical attention is obtained at the right time, this ailment can be successfully treated. Antibiotics can treat this condition quickly. Usually, any one of the following might be prescribed by your doctor to treat this disease.
•
Moxifloxacin
•
Fluoroquinolones
•
Macrolides
Each case is different and your doctor is the best person to take the decision on the treatment plan that will be best suitable for you.
However, you should ensure that you approach your doctor as soon as you begin to see symptoms of this ailment; the sooner, the better, so that the conditions and the accompanying symptoms do not worsen. In certain major cases, the person might need to be hospitalized.
There is no need to worry about the flu-like Pontiac fever that is usually seen to occur along with this disease. No specific treatment is required for this and it usually subsides soon on its own.
A general physician is capable enough to treat this illness. However, if the severity is seen to have worsened, you might be advised to meet a specialist.
Pulmonologists are specialists in treating lung diseases. Seeking help from a pulmonologist in severe cases of Legionnaires' disease is recommended.
It is a good practice to make a note of all your symptoms before you head to the doctor. Also, use a thermometer to note down your temperature accurately. Mentioning facts such as if you have been eating outside food or went out of town could help your doctor assess your condition and symptoms better.
Do inform the doctor about all the other medications that you are already taking. This would include supplements and vitamins as well. You wouldn't want any medication to interfere with the functionality of your body. As you might be feeling weak, it is always advisable to have a family member or friend accompany you when you visit the doctor.
Disclaimer: The information provided in this article is for general informational and educational purposes only and is not intended as a substitute for professional medical advice, diagnosis, or treatment. Always seek the advice of your physician or a qualified healthcare provider with any questions you may have regarding a medical condition.



Click it and Unblock the Notifications











