Latest Updates
-
The World’s First Harry Potter-Themed Hotel Is All Set to Open In Europe -
Dhurandhar 16 Days Collection | Dhurandhar Beats Jawan, Stree 2 | Dhurandhar 500cr | Dhurandhar Day 16 Collection | Dhurandhar Box Office Collection Day 17 Prediction (December 21, 2025) | Dhurandhar Third Weekend Collection Prediction | Dhurandhar Today Collection -
How to Dress Well This Holiday Season Without Overthinking It -
From Guava To Kiwi: Fruits to Have in Winters to Boost Your Immunity -
David Guetta Returns to Mumbai After 8 Years, Lights Up Sunburn Festival 2025 -
How Homeopathic Remedies May Support Gut and Brain Health, Expert Explains -
Why Viral Fevers Are Lasting Longer This Year: Expert Explains The Immunity Shift Post-COVID -
Rekha’s Timeless Wedding Season Style: 5 Things to Pick From Her Latest Look -
Gold Rate Today in India Flat, Silver Prices Jump to New High of Rs 2.14 Lakh: Check Latest Prices in Chennai, Bangalore, Hyderabad, Mumbai, Pune, Ahmedabad & Delhi -
Happy Birthday Tamannaah Bhatia: What The 'Baahubali' Star's ‘Milky Beauty’ Skincare Looks Like Off Screen
8-Year-Old Girl Has A 3-Pound Hairball In Stomach!
Little habits in our daily lives do have an impact on our health and lifestyle.
Chewing of nails or eating your hair when you are stressed can be harmful in the long run and these habits need to be stopped for your well-being.

Here is one such case where it was discovered that a young girl had been chewing her hair so much so that it had turned into a huge hairball in her stomach!
Check out the bizarre details of the case.

She Has Been Eating Her Hair Since She Was 2!
Feifei is an 8-year-old girl hailing from Guangdong, Southern China. According to reports, the girl had been pulling her hair out and eating it since she was just 2 years old.

Her Mum Stopped Her From Chewing Her Hair
It is reported that the girl's mother had stopped the girl's habit at the beginning of the year. Within a month, the mum noticed that her daughter started falling ill. She fell ill for a week with symptoms of vomiting and severe stomach ache.

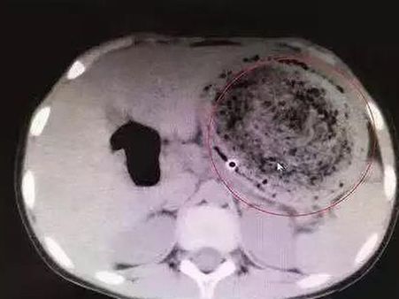
The Doctors Examined Her
The doctors performed a gastric lavage on her. This procedure was done to empty the contents of her stomach, but doctors were shocked to find that the girl had a huge ball of hair stuck in her stomach.

She Was Operated Immediately
She Was Operated Immediately



Click it and Unblock the Notifications











