Latest Updates
-
Dry Skin Vs Dehydrated Skin: Expert Explains The Winter Difference -
‘The Wire’ and It: Chapter Two Actor James Ransone Dead at 46; Cause of Death Confirmed as Suicide by Hanging -
Fan Frenzy Crosses The Line: Samantha Ruth Prabhu Mobbed At Store Launch Days After Nidhhi Agerwal Incident -
Newlywed Samantha Ruth Prabu Transforms A Silk Saree Into a Style Moment -
Bladder on Hold: Expert Explains The Indian Habit That’s Hurting Urinary Health -
National Mathematics Day 2025: How India Marks Ramanujan’s Birth Anniversary, Know The Story Of 1729 -
Daily Horoscope, Dec 22, 2025: Libra to Pisces; Astrological Prediction for all Zodiac Signs -
Mahayuti Sweeps Maharashtra Local Body Polls, BJP Emerges Largest Party -
The World’s First Harry Potter-Themed Hotel Is All Set to Open In Europe -
Dhurandhar 16 Days Collection | Dhurandhar Beats Jawan, Stree 2 | Dhurandhar 500cr | Dhurandhar Day 16 Collection | Dhurandhar Box Office Collection Day 17 Prediction (December 21, 2025) | Dhurandhar Third Weekend Collection Prediction | Dhurandhar Today Collection
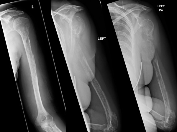
Woman's Bones Vanish Before Doctors' Eyes
Have you ever got the crazy thought of your bones vanishing one fine day? No, right? But we bring in a unique case of a woman whose bones seemed to disappear!
This strange case of a woman's bones disappearing seems to baffle the medics, as the x-ray shows the bones disappearing over a period of time!
Check out the details of the mysterious medical condition of the woman whose bones seemed to disappear.

The Mysterious Case
It is reported that the 44-year-old woman was previously healthy. She consulted a doctor when she experienced increasing pain in her left shoulder. During the X-ray, medics saw a lesion in her humerus bone, which is the bone in the upper arm. It was assumed to be cancer. But her biopsy results didn't show cancer. After several months, she underwent another biopsy, which revealed a benign blood vessel tumour.

She Continued Having Pain
The woman continued to have pain and swelling in her arm for several months. Her bone apparently started getting fractured from just minor injuries. About 18 months when the doctors went through all the scans over the period of time, the doctors realised that her bones were vanishing! Both her humerus and her ulnar bone seemed to be disappearing on the X-ray report. The reports also showed that blood vessel growths were replacing her bone tissue.

The Doctors Diagnosed Her With
The unnamed woman was diagnosed with Gorham-Stout disease, which is also known as "vanishing bone disease." It is revealed that, it is an extremely rare condition, in which people experience progressive bone loss.

The Cause For This Condition Is Not Known
The medics are yet to learn about the actual cause that leads to this bizarre condition. According to the National Organization for Rare Disorders (NORD), it is reported that no genetic or environmental changes are believed to trigger this rare disease.

People Suffering From This Condition Experience...
Doctors claim that people who suffer from this condition experience abnormal growth of blood vessels and lymphatic vessel.

There's No Treatment For The Same
Apparently,
the
researchers
claim
that
there
is
no
standard
treatment
for
the
condition.
In
a
few
cases,
surgery
has
been
suggested
where
the
affected
bone
areas
are
removed
and
radiation
treatment
is
done
to
prevent
the
disease
from
spreading.
What
do
you
think
of
this
case?
Let
us
know
in
the
comment
section
below.



Click it and Unblock the Notifications











