Latest Updates
-
Mahayuti Sweeps Maharashtra Local Body Polls, BJP Emerges Largest Party -
The World’s First Harry Potter-Themed Hotel Is All Set to Open In Europe -
Dhurandhar 16 Days Collection | Dhurandhar Beats Jawan, Stree 2 | Dhurandhar 500cr | Dhurandhar Day 16 Collection | Dhurandhar Box Office Collection Day 17 Prediction (December 21, 2025) | Dhurandhar Third Weekend Collection Prediction | Dhurandhar Today Collection -
How to Dress Well This Holiday Season Without Overthinking It -
From Guava To Kiwi: Fruits to Have in Winters to Boost Your Immunity -
David Guetta Returns to Mumbai After 8 Years, Lights Up Sunburn Festival 2025 -
How Homeopathic Remedies May Support Gut and Brain Health, Expert Explains -
Why Viral Fevers Are Lasting Longer This Year: Expert Explains The Immunity Shift Post-COVID -
Rekha’s Timeless Wedding Season Style: 5 Things to Pick From Her Latest Look -
Gold Rate Today in India Flat, Silver Prices Jump to New High of Rs 2.14 Lakh: Check Latest Prices in Chennai, Bangalore, Hyderabad, Mumbai, Pune, Ahmedabad & Delhi
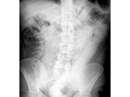
Doctors Invented A New Tool To Remove A 23-inch Dildo From A Man’s Rectum
While exploring sexual pleasure, people tend to use some of the most bizarre things to satisfy their urge.
But when this dirty pleasure gets ugly, it turns out to be really embarrassing. Here is one such case of a man who had a 23-inch long sex toy stuck in his rectum.

Check out on how the doctors invented the new tool to remove the giant dildo that was stuck inside the man.

He Complained That The Toy Was Not Removable By Hand
The man revealed to the doctors that the toy was "not removable by hand." Apparently, the toy was stuck inside him for over 24 hours.

He Was Not In Much Pain
Even though the doctors on examination found out the size of the dildo to be 23 inches which is a 2-feet-long sex toy, the man was not in much stress as he complained of just mild abdominal pain. He was later referred to the endoscopy unit.

Various Tools Were Used To Remove It
The doctors in their journal revealed that multiple tools were used to remove the foreign object from the body. But due to the massive size and the smooth finishing of the sex toy, it was a task to remove it without causing much damage to the internal organs.

Doctors Tried Using...
They tried using a wire loop device which is generally used to remove polyps and displaced it with a dilating balloon which they later grabbed with forceps. But all the attempts failed, and hence the doctors resorted to inventing a new tool.

The Invention
To avoid further internal damage, the doctors decided to create a new tool to remove the object. They built a "home-made" device in which they used a medical wire that was used to push a stent tube. The device was rigid enough to loop around the sex toy, and it was used to pull the dildo away from the colon walls easily.

The Medics Claim
The medics revealed about the new tool they invented and explained that this new technique is to become a valid option to remove large foreign bodies which are mostly stuck in the colon and rectum due to sex accidents. This tool is safe when compared to the standard endoscopic methods for foreign body extraction.

The Man Was Eventually Happy
The red-faced man was glad and happy as he did not have to undergo any surgery and the real bit was that the man was allowed to go home on the very day as he did not face any damage.
What is your take on this? Share your thoughts on the same in the comment section below.



Click it and Unblock the Notifications











