Latest Updates
-
Bharti Singh Welcomes Second Son: Joyous News for the Comedian and Her Family -
Gold & Silver Rates Today in India: 22K, 24K, 18K & MCX Prices Fall After Continuous Rally; Check Latest Gold Rates in Chennai, Mumbai, Bangalore, Hyderabad, Ahmedabad & Other Cities on 19 December -
Nick Jonas Dancing to Dhurandhar’s “Shararat” Song Goes Viral -
From Consciousness To Cosmos: Understanding Reality Through The Vedic Lens -
The Sunscreen Confusion: Expert Explains How to Choose What Actually Works in Indian Weather -
On Goa Liberation Day 2025, A Look At How Freedom Shaped Goa Into A Celebrity-Favourite Retreat -
Daily Horoscope, Dec 19, 2025: Libra to Pisces; Astrological Prediction for all Zodiac Signs -
Paush Amavasya 2025: Do These Most Powerful Rituals For Closure On The Final Amavasya Of The Year -
As The Last New Moon Of 2025 Approaches, Make A Wish Based On Your Rising Sign -
Throwback Thursday: This Aishwarya Rai Lookalike Had A 'Lucky' Debut But Not So Lucky Bollywood Career!
Expert Article: Obturators In Dentistry: Types, Uses And Benefits
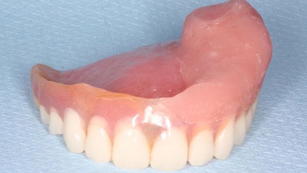
Obturators, as the name suggests, are devices that block a pathway. In the field of medicine, it refers to a prosthesis that fills in a hole, connection, or defect, such as a fissure in the palate. They are a definitive treatment for patients in whom a part of the jaw or palate has been resected due to cancer.
What do obturators look like?
Obturators consist of:
a.
The
plate
b.
The
bulb
c.
The
clasps/clips
d.
Rests
e.
Joints/hinge

Who needs an obturator?
Obturators are necessary for cancer patients who have had a portion of the jaw removed, such as in a maxillectomy or mandibulectomy case [1].
Types of obturators:
1. Surgical obturator:
This obturator is utilized both during the surgery and the initial healing phase. In order to fabricate the obturator, measurements of both jaws are taken before surgery. Its functions are:
a.
Provides
a
surgical
guide
b.
As
a
foundation
for
the
skin
graft
c.
Ensure
healing
without
the
contamination
of
food
and
fluids.
2. Temporary obturator:
After the initial phase of healing, measurements are repeated. This obturator will be in place for the ensuing six to eight months as the oral tissues contract and heal. They are lightweight and require regular modifications.
3. Definitive obturator:
This obturator is made after the tissue has healed satisfactorily.
Benefits of obturators:
1.
Rehabilitates
the
lost
part
of
the
face/jaws
[2]
2.
Restores
esthetics
and
presentability
3.
Increases
chewing
efficiency,
ensuring
proper
nourishment
4.
Prevents
regurgitation
of
food
and
fluids
5.
Prevents
nasal
twang
and
restores
speech
6.
Heals
the
wound
adequately
7.
Maintains
oral
hygiene
8.
Improves
the
quality
of
life
and
raises
the
spirits
of
cancer
survivors.

Who makes a dental obturator?
An oral and maxillofacial prosthodontist is trained to make an obturator. They work in collaboration with a prosthetic technician to give you the best treatment.
Steps in the making of an obturator:
Measurement
is
the
most
crucial
step;
it
determines
the
best
fit
of
the
obturator.
↓
Recording
of
the
bite
of
the
patient.
↓
Trial
of
the
dummy
obturator
with
artificial
teeth
↓
Delivery
and
placement
of
the
final
obturator
↓
Periodic
review
and
recall
visits.
What is the material used in an obturator?
Obturators are made of acrylic resin embedded in a metal framework. They are biofriendly, lightweight, esthetic, easy to clean, and can be repaired [3].
The latest trends in dental obturators:
Following surgery, rehabilitation for a patient with head and neck cancer need not focus on prosthetics only. Wonders can be accomplished through grafting, tissue engineering, reconstructive surgery, and plastic surgery as well.
We can create a precisely fitted prosthesis by using imaging methods like a CBCT scan to create a 3D image of the defect.
To improve the retention of the prosthesis, external dental implants can be used at specific points on the face.
Disclaimer: The information provided in this article is for general informational and educational purposes only and is not intended as a substitute for professional medical advice, diagnosis, or treatment. Always seek the advice of your physician or a qualified healthcare provider with any questions you may have regarding a medical condition.



Click it and Unblock the Notifications











