Latest Updates
-
A Hotel on Wheels: Bihar Rolls Out Its First Luxury Caravan Buses -
Bharti Singh-Haarsh Limbachiyaa Welcome Second Child, Gender: Couple Welcome Their Second Baby, Duo Overjoyed - Report | Bharti Singh Gives Birth To Second Baby Boy | Gender Of Bharti Singh Haarsh Limbachiyaa Second Baby -
Bharti Singh Welcomes Second Son: Joyous News for the Comedian and Her Family -
Gold & Silver Rates Today in India: 22K, 24K, 18K & MCX Prices Fall After Continuous Rally; Check Latest Gold Rates in Chennai, Mumbai, Bangalore, Hyderabad, Ahmedabad & Other Cities on 19 December -
Nick Jonas Dancing to Dhurandhar’s “Shararat” Song Goes Viral -
From Consciousness To Cosmos: Understanding Reality Through The Vedic Lens -
The Sunscreen Confusion: Expert Explains How to Choose What Actually Works in Indian Weather -
On Goa Liberation Day 2025, A Look At How Freedom Shaped Goa Into A Celebrity-Favourite Retreat -
Daily Horoscope, Dec 19, 2025: Libra to Pisces; Astrological Prediction for all Zodiac Signs -
Paush Amavasya 2025: Do These Most Powerful Rituals For Closure On The Final Amavasya Of The Year
Abscessed Tooth (Dental Abscess): Symptoms, Types, Treatment & Prevention
An abscessed tooth or tooth abscess is a pocket of puss that can develop in your mouth as a result of a bacterial infection. The condition is also called as dental abscess and can cause moderate to severe pain. In severe cases, the pain can spread to your neck or ears. The abscess can occur at different regions in your mouth, surrounding the teeth [1] .
An abscessed tooth is a result of the soft tissue inside the root canal dies and becomes inflamed. The inflammation is caused by the bacteria that exist in plaque (a by-product of food, saliva, and bacteria), which damage and destroy the teeth and the gums.

Basically, it is nothing but that throbbing tooth pain that constantly keeps you up at night. In the early stages, it will be accompanied by a normal simple toothache but once the infection spreads to the root tip or around the root, the pain will become intolerable [2] .
Tooth abscess develops from the tooth's inner chamber (pulp chamber) because the tooth has essentially lost the ability to fight off the infection-causing bacteria; causing the bacteria to multiply and spread the infection. An abscessed tooth has to be treated or else can turn into life-threatening conditions, as the infection can spread to the jaw to your neck, head, or other body parts. An abscessed tooth can affect anyone, irrespective of age and gender [3] , [4] .
Types Of Abscessed Tooth
The condition or bacterial infection are classified into three different types [5] , [6] .
- Periodontal abscess: This type of abscess develops in the supporting bone tissue structures of the teeth, that is, the gum next to the root of a tooth. It can spread to the surrounding tissue and bones.
- Periapical abscess: This type develops on the soft pulp of the tooth, that is, at the tip of a tooth's root.
- Gingival abscess: This type of abscess develops only in the gum tissue and does not affect the periodontal ligament or the tooth.

Symptoms Of Abscessed Tooth
The major sign of the bacterial condition is throbbing pain near a tooth or in your gums. The pain usually develops quick and can get worse over time.
The other common symptoms of an abscessed tooth are as follows [7] , [8] , [9] :
- Difficulty breathing or swallowing
- Severe, persistent, throbbing toothache that can radiate to the jawbone, neck or ear
- Fever
- Pain that gets worse when you lie down
- Sensitivity to the pressure of chewing or biting
- Sensitivity to hot and cold temperatures
- Swelling and redness in your face or cheek
- A sudden rush of foul-smelling and foul-tasting, salty fluid in your mouth and pain relief, if the abscess ruptures
- Tender, swollen lymph nodes under your jaw or in your neck
- Swollen and red gums
- Discoloured or loose teeth
- Bad breath
- Insomnia
Causes Of Abscessed Tooth
The central reasons behind the development of the infection are as follows [10] :
- A deep cavity or tooth decay
- Gum disease, also known as periodontal disease
- A cracked tooth

Apart from the aforementioned, the cause can be ascertained depending on the type of abscess [11] .
- Periodontal abscess: Usually caused by gum diseases. However, it can also develop as a result of an injury.
- Periapical abscess: Caused by bacteria that enters the pulp within your teeth; where the bacteria enters the gums through a cavity.
- Gingival abscess: Caused by foreign objects such as a toothbrush bristle or fruit seed when it gets stuck in your gums.
Risk Factors For Abscessed Tooth
Some factors can increase your risk of developing a bacterial infection. And those factors are mentioned below [12] .
Sugar-rich diet: Constantly following a diet that is high in sugar such as sodas, cakes, sweets etc., can cause the development of dental cavities which, in turn, can develop into a tooth abscess.
Poor dental hygiene: Avoiding brushing your teeth twice a day and not flossing is a direct path towards increasing the risk of tooth decay, gum disease, tooth abscess, and other dental complications.
Dry mouth: This can increase your risk of developing abscessed tooth. Dry mouth can be a side effect of ageing or certain medications.
Diagnosis Of Abscessed Tooth
In order to examine and understand the infection and its severity, the dentist will carry out the following [13] , [14] :
- Tap on your teeth: This is done so as to understand the location of the abscess. Because a tooth that has an abscess at its root is generally sensitive to touch or any kind of pressure.
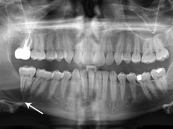
- X-ray: Taking an x-ray will help identify the abscess. It can also be used to determine whether the infection has spread, causing abscesses in other areas.
- CT scan: If the case is severe with pain, a CT scan will be recommended so as to assess the extent of the infection.
Treatment For Abscessed Tooth
The medical care for the bacterial infection focuses on removing the infection and getting rid of the pain associated with the infection. The treatments will be dependent on the symptoms as well as the severity of the condition. The treatment options for abscessed tooth are mentioned below [15] , [16] , [17] .
Abscess draining: A small cut will be made in the abscess by your dentists, to drain the pus. The process will be followed up by cleaning the area affected by a saline solution.

Root canal procedure: This procedure involves drilling into the affected tooth, so as to drain the abscess and to remove any infection. After that, the pulp chamber and the root canal will be filled and sealed. It will be followed up with a crown procedure, which is to put a cap on your teeth to strengthen the root canal procedure done.
- Tooth extraction: If the damage is too severe, the dentist will recommend the tooth to be removed before draining the abscess.
- Removal of a foreign object: If the abscess is caused by any foreign objects such as a seed or a popcorn kernel, the dentist will remove it and finish up the process by cleaning the area with a saline solution.
- Antibiotics: In the case of the infection spreading beyond the abscessed area or if you have a weak immune system, the dentist will prescribe oral antibiotics to help clear the infection and provide pain relief.
Complications Of Abscessed Tooth
Upon leaving untreated, the infection can cause rise to certain complexities. And in some extremely rare cases, some complications can appear even after the treatment [18] , [19] .
- Dental cysts (when a fluid-filled cavity develops at the bottom of the root of the tooth)
- Cavernous sinus thrombosis (when the bacteria cause a blood clot to form at the cavernous sinus, a large vein at the base of the brain)
- Osteomyelitis (when the bacteria in the abscess get into the bloodstream and infects the bone)
- Ludwig's angina (an infection of the floor of the mouth when the dental abscess bacteria spread).
- Maxillary sinusitis (when the bacteria spread into small spaces behind the cheekbones, called the maxillary sinuses).

Prevention Of Abscessed Tooth
The major and critical step to be followed in preventing the occurrence of the bacterial infection is taking good care of your teeth, so as to avoid tooth decay [20] .
- Eat healthy food and limit sugary items and between-meal snacks.
- Use fluoridated drinking water.
- Use dental floss to clean between your teeth on a daily basis.
- Brush your teeth at least twice a day with a fluoride toothpaste.
- Use an antiseptic or a fluoride mouth rinse to add an extra layer of protection against tooth decay.
- Replace your toothbrush every three or four months, or whenever the bristles are frayed.
- Visit your dentist for regular check-ups and professional dental cleaning.
Home Remedies For Abscessed Tooth
You can take some steps at home to limit the pain from the bacterial infection [21] .
- Avoid foods and drinks that are either too hot or too cold.
- Use a very soft toothbrush.
- Do not floss around the affected area.
- Chew on the side of your mouth that does not have an abscess.
- Rinse your mouth with warm salt water.
- Take over-the-counter pain relievers such as acetaminophen and ibuprofen.
Some of the major options of home remedies that can be used to ease abscessed tooth are mentioned below [22] .
- Baking soda
- Oregano, clove and thyme essential oil
- Cold compress
- Fenugreek tea
- Hydrogen peroxide
- Oil pulling
- Garlic
Disclaimer: The information provided in this article is for general informational and educational purposes only and is not intended as a substitute for professional medical advice, diagnosis, or treatment. Always seek the advice of your physician or a qualified healthcare provider with any questions you may have regarding a medical condition.
- [1] Chueh, L. H., & Huang, G. T. J. (2006). Immature teeth with periradicular periodontitis or abscess undergoing apexogenesis: a paradigm shift.Journal of endodontics,32(12), 1205-1213.
- [2] August, D. S. (1982). Managing the abscessed open tooth: instrument and close—part 2.Journal of endodontics,8(8), 364-366.
- [3] Chen, M. H., Chen, K. L., Chen, C. A., Tayebaty, F., Rosenberg, P. A., & Lin, L. M. (2012). Responses of immature permanent teeth with infected necrotic pulp tissue and apical periodontitis/abscess to revascularization procedures.International endodontic journal,45(3), 294-305.
- [4] Shin, S. Y., Albert, J. S., & Mortman, R. E. (2009). One step pulp revascularization treatment of an immature permanent tooth with chronic apical abscess: a case report.International endodontic journal,42(12), 1118-1126.
- [5] Nair, P. R., Pajarola, G., & Schroeder, H. E. (1996). Types and incidence of human periapical lesions obtained with extracted teeth.Oral Surgery, Oral Medicine, Oral Pathology, Oral Radiology, and Endodontology,81(1), 93-102.
- [6] Meng, H. X. (1999). Periodontal abscess.Annals of Periodontology,4(1), 79-82.
- [7] Dahlen, G. (2002). Microbiology and treatment of dental abscesses and periodontal‐endodontic lesions.Periodontology 2000,28(1), 206-239.
- [8] Robertson, D., & Smith, A. J. (2009). The microbiology of the acute dental abscess.Journal of medical microbiology,58(2), 155-162.
- [9] De Sá, A. R., Moreira, P. R., Xavier, G. M., Sampaio, I., Kalapothakis, E., Dutra, W. O., & Gomez, R. S. (2007). Association of CD14, IL1B, IL6, IL10 and TNFA functional gene polymorphisms with symptomatic dental abscesses.International endodontic journal,40(7), 563-572.
- [10] Parhiscar, A., & Har-El, G. (2001). Deep neck abscess: a retrospective review of 210 cases.Annals of Otology, Rhinology & Laryngology,110(11), 1051-1054.
- [11] Robertson, D., & Smith, A. J. (2009). The microbiology of the acute dental abscess.Journal of medical microbiology,58(2), 155-162.
- [12] Li, X., Tronstad, L., & Olsen, I. (1999). Brain abscesses caused by oral infection.Dental Traumatology,15(3), 95-101.
- [13] Corson, M. A., Postlethwaite, K. P., & Seymour, R. A. (2001). Are dental infections a cause of brain abscess? Case report and review of the literature.Oral diseases,7(1), 61-65.
- [14] Seow, W. K. (2003). Diagnosis and management of unusual dental abscesses in children.Australian dental journal,48(3), 156-168.
- [15] da Silva, M., Helman, J., Eliachar, I., & Joachims, H. Z. (1982). Nasal septal abscess of dental origin.Archives of Otolaryngology,108(6), 380-381.
- [16] Okayama, H., Nagata, E., Ito, H. O., Oho, T., & Inoue, M. (2005). Experimental abscess formation caused by human dental plaque.Microbiology and immunology,49(5), 399-405.
- [17] Shweta, S. (2013). Dental abscess: A microbiological review.Dental research journal,10(5), 585.
- [18] Molina, J. M., Leport, C., Bure, A., Wolff, M., Michon, C., & Vilde, J. L. (1991). Clinical and bacterial features of infections caused by Streptococcus milleri.Scandinavian journal of infectious diseases,23(6), 659-666.
- [19] Resnick, C. M., & Novelline, R. A. (2008). Cemento-osseous dysplasia, a radiological mimic of periapical dental abscess.Emergency radiology,15(6), 367-374.
- [20] Furst, I. M., Ersil, P., & Caminiti, M. (2001). A rare complication of tooth abscess-Ludwig's angina and mediastinitis.JOURNAL-CANADIAN DENTAL ASSOCIATION,67(6), 324-329.
- [21] Davis, L. G. (1938). Frontier home remedies and sanitation.Minnesota History,19(4), 369-376.
- [22] Gilbert, G. H., Stoller, E. P., Duncan, R. P., Earls, J. L., & Campbell, A. M. (2000). Dental self‐care among dentate adults: contrasting problem‐oriented dental attenders and regular dental attenders.Special care in Dentistry,20(4), 155-163.



Click it and Unblock the Notifications











