Latest Updates
-
Purported Video of Muslim Mob Lynching & Hanging Hindu Youth In Bangladesh Shocks Internet -
A Hotel on Wheels: Bihar Rolls Out Its First Luxury Caravan Buses -
Bharti Singh-Haarsh Limbachiyaa Welcome Second Child, Gender: Couple Welcome Their Second Baby, Duo Overjoyed - Report | Bharti Singh Gives Birth To Second Baby Boy | Gender Of Bharti Singh Haarsh Limbachiyaa Second Baby -
Bharti Singh Welcomes Second Son: Joyous News for the Comedian and Her Family -
Gold & Silver Rates Today in India: 22K, 24K, 18K & MCX Prices Fall After Continuous Rally; Check Latest Gold Rates in Chennai, Mumbai, Bangalore, Hyderabad, Ahmedabad & Other Cities on 19 December -
Nick Jonas Dancing to Dhurandhar’s “Shararat” Song Goes Viral -
From Consciousness To Cosmos: Understanding Reality Through The Vedic Lens -
The Sunscreen Confusion: Expert Explains How to Choose What Actually Works in Indian Weather -
On Goa Liberation Day 2025, A Look At How Freedom Shaped Goa Into A Celebrity-Favourite Retreat -
Daily Horoscope, Dec 19, 2025: Libra to Pisces; Astrological Prediction for all Zodiac Signs
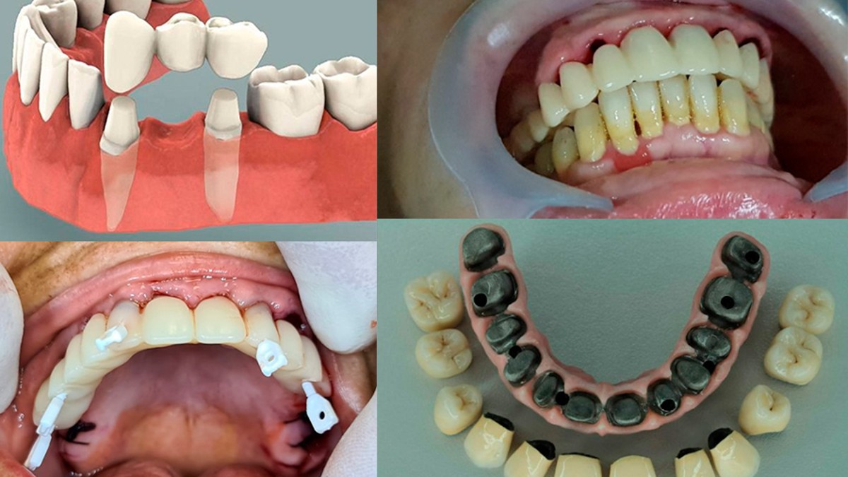
Dental Implants Vs Dentures: Which One Is Best For You To Get A Perfect Smile
Sometimes a battle won is a smile earned. Such is the tussle between implants vs dentures. Missing teeth aren't distressing in the 21st century. The past couple of decades have seen seismic shifts in the field of cosmetic and restorative dentistry. We have an array of options for replacing missing teeth. While some options are removable, others are fixed and permanent. Your dentist will tell you which option best suits you depending on your age, jaw anatomy, the position and function of the missing teeth, and your preferences.
What are Dentures and dental implants in dentistry?
Do you remember your grandparents' false teeth lying on their bedside table? Oh yes, those are the dentures we are talking about today! They are removable dental prostheses that serve to restore lost teeth while supporting the gums around them. They can be partial dentures, which only replace a few lost teeth, or full dentures, which replace all the missing teeth in the mouth.

Dental implants are miniature titanium screw-like inserts that are placed into your jaw bones at the site of your missing teeth. They successfully integrate or fuse to the jaw bone, almost becoming a part of the body. Options for replacing missing teeth with dental implants include ceramic crowns, dental bridges, or dentures.
Dental Implants vs Dentures: What Is Best For You?
1.
Wearability
Dentures
are
essentially
removable.
Dentures
supported
by
implants
(implant
overdentures)
also
need
to
be
removed
every
day
for
cleaning
and
to
allow
adequate
rest
for
the
jaws.
Studies
suggest
that
the
gums
are
the
primary
support
for
dentures.
If
you
wear
dentures,
you
should
remove
them
for
8
-10
hours
a
day
(sleep
time),
allowing
the
gums
time
for
cell
repair
and
rejuvenation.
Dental
implants,
on
the
other
hand,
are
surgically
inserted
into
the
jaws
and
are
permanent.
They
do
not
require
to
be
removed
or
replaced.
2.
Functionality
Implants
are
fixed,
long-lasting
tooth
replacements.
They
offer
a
secure
base
for
the
missing
tooth
replacement.
With
implants,
you
can
eat
and
converse
without
any
limitations
because
they
work
just
like
natural
teeth.
Removable dentures, on the other hand, rest on the gums. They are only held in place by the suction of the saliva. Dentures may not offer as much stability as implants, although they can restore some basic functions.
3.
Esthetics
Dental
implants
are
made
to
feel
and
appear
like
your
natural
teeth.
They
are
made
specifically
to
match
the
color,
shape,
and
size
of
your
natural
teeth.
A
dental
implant
crown
appears
to
be
emerging
from
the
jaw.
They
are
therefore
a
very
attractive
choice
for
replacing
missing
teeth.
Dentures can also be made to seem like real teeth. They might not, however, provide the same level of realism as implants, particularly in terms of stability and the appearance of the gum line.
4.
Bone
Health
Implants
help
to
maintain
facial
structure
by
stimulating
the
jawbone
and
avoiding
bone
loss.
They
mirror
the
way
that
natural
tooth
roots
work
by
integrating
with
the
bone.
Dentures,
however,
distribute
biting
stresses
all
over
the
jaw.
Over
time,
bone
loss
may
result
from
the
dentures' insufficient
stimulation
of
the
jawbone.
The
denture
appears
to
wear
out,
and
the
bone
eventually
shrinks
further.
5.
Longevity
Dental
implants
may
last
a
lifetime
with
proper
care.
They
are
thought
to
be
a
long-term
replacement
for
dentures.
Dentures
may
require
replacement
or
relining
every
five
to
ten
years.
The
potential
for
the
jawbone
to
resorb
over
time
may
affect
the
fit
and
stability
of
dentures.
6.
Maintenance
Implants
must
be
maintained
with
routine
brushing,
flossing,
and
dental
exams,
just
like
natural
teeth.
They
require
basic
procedures
like
dental
scaling
and
polishing
by
the
dentist
twice
a
year.
Dentures need to be taken out and cleaned every day. They might also need relining or adjustments by the dentist, as the jawbone's shape changes with time.
7.
Cost
Dental
implants
require
cutting-edge
equipment
and
expertise.
They
are
currently
the
most
advanced
and
premium
form
of
dentistry.
Dental
implants
are
typically
more
expensive
upfront
than
dentures.
The
cost
may
vary
based
on
the
number
of
implants
you
require
and
any
additional
procedures,
such
as
bone
grafting.
Dentures
are
a
more
affordable
alternative
to
dental
implants
if
you
need
to
replace
several
teeth
or
an
entire
arch.
Conclusion
When
you
visit
the
dentist
with
lost
natural
teeth,
he
will
give
you
the
best
options
for
replacing
missing
teeth.
The
decision
about
implants
vs.
dentures
depends
on
your
specific
needs,
budget,
and
oral
health.
If
your
loved
one
is
missing
teeth
and
is
medically
fit,
then,
as
a
dentist,
my
advice
would
be
to
work
with
your
family
dentist
to
consider
the
option
of
dental
implants.
They
are
virtually
painless,
preserve
your
jaw
bones,
allow
you
to
bite
all
your
favourite
foods,
and
most
of
all,
they
are
permanent!
Disclaimer: The information provided in this article is for general informational and educational purposes only and is not intended as a substitute for professional medical advice, diagnosis, or treatment. Always seek the advice of your physician or a qualified healthcare provider with any questions you may have regarding a medical condition.



Click it and Unblock the Notifications











